Sonografie pro praxi
Pro ty, kteří chtějí sonografii porozumět do hloubky a používat ji každý den v praxi.
Více než 30 let klinických zkušeností přetavených do praktické výuky, videoukázek a systematického vzdělávání veterinárních lékařů. Protože dynamickou zobrazovací metodu se nelze naučit ze statických obrázků.
Praktické workshopy
Praktické sonografické workshopy přímo na vaší klinice
Výuka „one-to-one“ nebo pro malý tým.
Přesně podle vašich potřeb a na vašem přístroji.
O workshopechOnline vzdělávání
Online webináře a výuková videa zaměřená na konkrétní patologické nálezy, typické klinické situace a interpretaci sonografického obrazu v kontextu praxe.
Webináře a videaFacebooková stránka
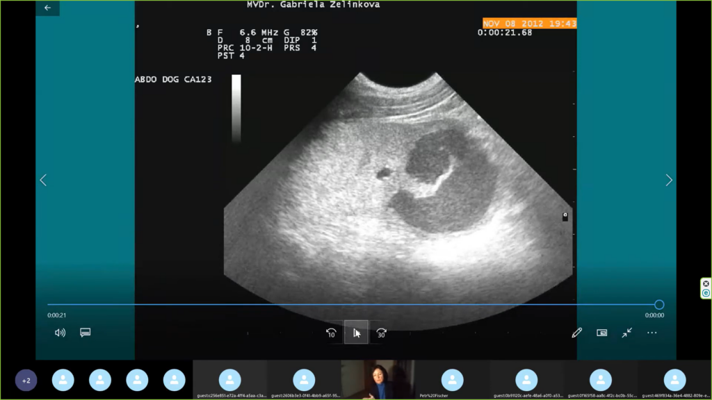
Sonografie pro praxi pro fandy veterinární sonografie. Pravidelné klinické případy, komentované videoukázky a praktické tipy pro každodenní praxi.
Zjistit víceVzdělávání a vyšetření
Jak se můžete do sonografie ponořit?
Možnosti vzdělávání a odborné spolupráce podle potřeb vaší ordinace nebo osobního zaměření.
Praktické sonografické workshopy
Praktická výuka přímo na vaší klinice. Výuka je vždy přizpůsobená konkrétnímu pracovišti, přístroji a typům pacientů, se kterými běžně pracujete.

Webináře a online vzdělávání
Online webináře a výuková videa zaměřená na konkrétní patologické nálezy, typické klinické situace a interpretaci sonografického obrazu v kontextu praxe.

Referenční pracoviště
Pro kolegy veterinární lékaře zajišťuji cílená sonografická vyšetření psů a koček. Přijímám pacienty k vyšetření a odesílám je zpět se sonografickou diagnózou včetně popisu nálezu a doporučení dalšího postupu. Vyšetření probíhá v klidném prostředí s důrazem na minimální stres pacienta. Samozřejmostí je konzultace výsledků s odesílající ordinací.

Facebooková komunita
Facebooková stránka Sonografie pro praxi vznikla v roce 2025 jako místo, kde mohou fandové veterinární sonografie vidět sonografii tak, jak ji v učebnicích nenajdou — v pohybu. Každý příspěvek obsahuje krátkou komentovanou videosmyčku reálného pacienta, s důrazem na klinickou relevanci nálezu a praktická doporučení. Kombinuji ověřenou praxi, zkušenosti z výuky a konkrétní kazuistiky.
Stránka slouží jako průběžný vzdělávací kanál pro všechny, kteří chtějí sonografii používat bezpečněji, jistěji a s lepšími výsledky.
Stránka slouží jako průběžný vzdělávací kanál pro všechny, kteří chtějí sonografii používat bezpečněji, jistěji a s lepšími výsledky.


O projektu
Sonografie pro praxi
Sonografie pro praxi je vzdělávací projekt pro praktické veterinární lékaře, který se zaměřuje na výuku sonografie prostřednictvím reálných klinických případů a komentovaných videozáznamů vyšetření v kontextu každodenní praxe – tak, aby se pro vás stala sonografie skutečně uchopitelná, pochopitelná a použitelná v každodenní praxi.
Online webináře a výuková videa
Online webináře a kompletní záznamy živých webinářů s detailním výkladem, klinickým kontextem a odpověďmi na dotazy účastníků. Vhodné pro hlubší pochopení problematiky a systematické vzdělávání v sonografii. Výuková videa jako krátké videoukázky skutečných klinických případů ZDARMA.


Výuková videa ZDARMA!


Výuková videa ZDARMA!


Výuková videa ZDARMA!
Sonografie postavená na reálné praxi
Vše, co jsem během let klinické praxe viděla a řešila, přenáším do výuky přizpůsobené vaší ordinaci a vašim každodenním potřebám.
0+
let klinické praxe
0 tis. +
vyšetřených pacientů
0+
let lektorské činnosti
Vzdělávání a vyšetření
Začněte sonografii používat s jistotou
Vyberte si formu výuky, která vám dává smysl – webináře, výuková videa nebo osobní workshop na vaší klinice. Máte-li zájem o jakoukoliv jinou formu vzdělávání, neváhejte mi napsat.