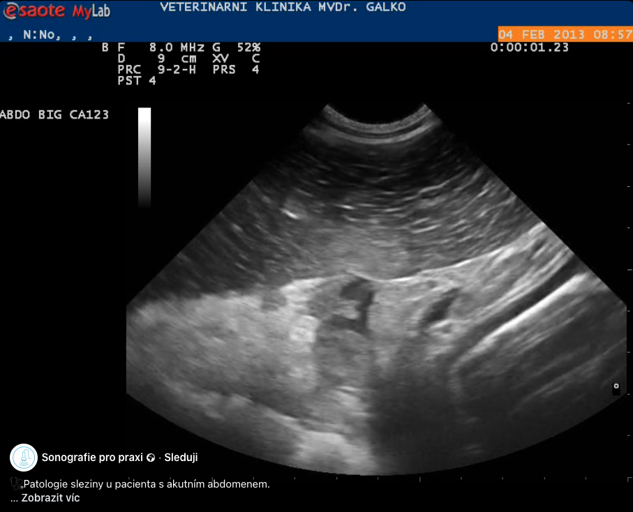
Slezina


Výuková videa ZDARMA!


Výuková videa ZDARMA!


Výuková videa ZDARMA!
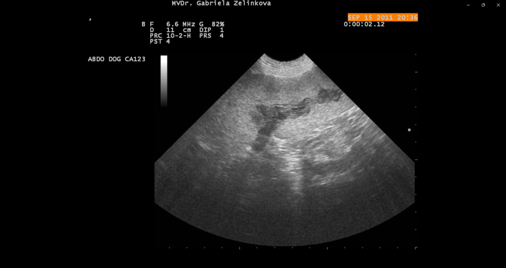
Tromboembolie sleziny
Akutní tromboembolická okluze a.lienalis s globální ischemickou reakcí parenchymu.


Plánované webináře
Slezina, slinivka, nadledvinky
Termín bude upřesněn
60 minut
Sonografie sleziny, slinivky a nadledvinek se zaměřením na klinicky významné nálezy.
Jak bezpečně rozpoznat akutní, reaktivní i tumorózní změny a interpretovat nález v kontextu celkového stavu pacienta.ký popisek
Nové webináře přímo do e-mailu
Chcete dostávat informace o připravovaných webinářích a novém vzdělávacím obsahu? Přihlaste se k newsletteru a informace vám pošlu přímo do e-mailu — bez zbytečných sdělení navíc.